Herbst, Malu og Twin Block eru þau frambitstæki sem við notum.
Frambitstæki eru notuð í þeim tilfellum þegar allur neðri kjálkinn er of aftarlega miðað við efri kjálkann og andlitið í heild.
Þau miða að því að færa neðri kjálka og tennur framar, og þannig minnka yfirbit á framtönnum sem orsakast af þessari stöðu kjálkanna.
Þessi tæki hvetja aðallega til vaxtaraukningar í kjálkalið á vaxandi einstaklingi, með svokallaðri togörvun. Virkni frambitstækja er takmörkuð í fullvaxta einstaklingum.
Meðferð með frambitstækjum stendur yfir í 9-12 mánuði, en þá tekur við tímabil með spangir á öllum tönnum.
 
Til glöggvunar má sjá frekari upplýsingar um frambitstæki í eftirfarandi tenglum:
Beisli
Beisli er tæki sem notað er til að hafa hemjandi áhrif á vöxt efri kjálka þegar um of framstæðan efri kjálka er að ræða. Þegar haldið er aftur af vexti efri kjálka hefur neðri kjálkinn færi á að vaxa hlutfallslega meira þannig af hljótist gott og jafnt bit.
Notuð eru tvennskonar beisli; hvirfilbeisli sem liggur yfir hnakkann, og hálsbeisli sem liggur aftur fyrir háls.
Beisli er notað á næturnar.
 
Framtogsbeisli
Framtogsbeisli er notað til að hafa hvetjandi áhrif á framvöxt efri kjálka. Það er notað í þeim tilfellum þegar efri kjálki er afturstæður miðað við neðri kjálka og efra andlit.
Framtogsbeisli er oft notað samtímis álímdri þanskrúfu og er eingöngu notað á næturnar.
 
Áhrifaríkast er að nota framtogsbeisli á aldrinum 8-10 ára.
 
Þanskrúfa (álímd eða laus)
Þanskrúfa er notuð til víkkunnar á efri tannboga. Þanskrúfa getur verið notuð sem gómplata sem hægt er að taka úr munni við þrif og á matmálstímum, eða sem álímd á tennur.
Eftir að hæfilegri breidd er náð, þarf að hafa þanskrúfuna í munninum í 4-6 mánuði til þess að breyting á breidd tannbogans gangi ekki til baka.
 
 
Frekari upplýsingar um þanskrúfu má finna í eftarfarandi tengli:
 
Bithækkunarplata
Í völdum tilfellum af djúpu biti er bithækkunarplata góður kostur til að hækka bit. Við notkun á bithækkunarplötu er aðeins bitið á framtennur og hafa jaxlar því færi á að hækka og þ.a.l. viðhalda hærra biti. Bithækkunarplötu skal nota dag og nótt, en taka úr munni við tannburstun og á matmálstímum. Gott er að nota bithækkunarplötu um það bil er síðustu barnatennurnar eru að falla úr munni, og þegar fullorðins forjaxlar eru að koma í munn.
 
 
Retraktor gómur
Retraktor gómur er notaður þegar neðri góms framtennur eru of framstæðar og framhallandi.
 
 
 
Gómbogi
Gómbogar eru notaðir til að styðja við breidd efri góms tannboga að lokinni útvíkkun.
 
 
 
Varabogi
Varabogi er notaður í neðri góm til þess að auka rými í tannboganum, en einnig til að varðveita rými eftir barnajaxla.
 
 
 
Stoðbogar
Við lok meðferðar er nánast undantekningalaust límdur upp stoðbogi á bakhlið framtanna í efri og neðri góm. Þetta er gert til þess að minnka hættuna á bakslagi, þ.e. að tennur verði aftur skakkar og snúnar eða að bil myndist á milli tanna.
 
 
 
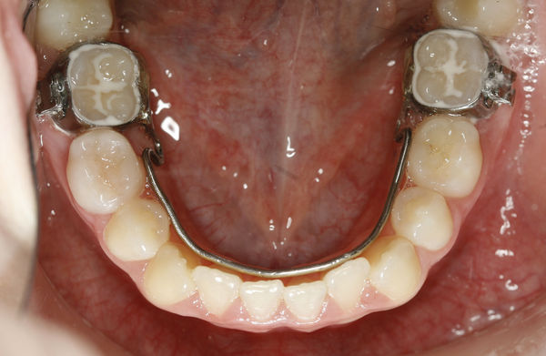
Tungubogi
Tungubogi er notaður til að styðja við 6 ára jaxla í neðri gómi og varðveita þ.a.l. rými eftir barnajaxla.
 
 
 
Gómplata
Gómplata (gómur) er notuð til stuðnings eftir tannréttingameðferð, til að viðhalda árangri meðferðar.
Gómplatan er notuð dag og nótt í 4-6 mánuði eftir meðferð, en eftir það á næturnar í allt að 2 ár - stundum lengur.
Frekari upplýsingar um gómplötu má finna í eftirfarandi tengli:
 
 
 
Tannréttinga skrúfur
Skrúfur sem notaðar eru til stuðnings í tannréttingameðferð hafa komið á markaðinn á síðustu árum.
Þessar skrúfur eru smáar og eru skrúfaðar í kjálkabein, oft á milli róta tanna.  Við ákveðnar aðstæður er notagildi þeirra mikið og geta þær auðveldað tannréttingu og stytt meðferðartíma.
 
 
 
Tungugirðing
 
   
  
Tungugirðing er notuð í þeim tilfellum þegar bit er opið vegna stöðu framtanna.
Þetta gerist gjarnan í kjölfar ávana eins og þumalfingursogs eða tunguþrýstings.  Tungugirðingin kemur í veg fyrir áframhaldandi þumalsog og hindrar að tungan liggi á milli efri og neðri góms framtanna og viðhaldi opna bitinu.  Framtannabit lokast þá gjarnan án annars tækjabúnaðar.